Skip to main content

Dental Implant Restorations

At Maria Cardenas DMD, we see every day how tooth implants can transform our patients’ mouths – and their lives. As a permanent solution to missing teeth, dental implants are some of the most innovative solutions in dentistry today. Dental implants can hold dental restorations like crowns, bridges, or dentures just like roots hold natural teeth in place. With dental implants, there is no need to destroy the good, healthy tooth structure, which makes it an ideal solution for most patients seeking an improved cosmetic dental appearance.

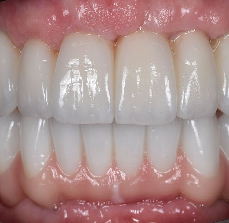
Mark with his natural dental implant restorations

With Dr. Cardenas’ skill as a Master Smile Designer, you’ll be leaving the office with an implant restoration that looks like a natural tooth.

Find out how Dr. Cardenas can help improve your smile with tooth implant restorations and make the dental implant process easy. We will guide you through each step of the dental implant restoration.

Feel free to contact us if you have any questions about dental implants or to schedule an oral health consultation.

Our Services

Maria Cardenas DMD offers a wide array of cosmetic, implant and general dentistry services so that creating a beautiful smile is effortless.

Best Dental Implant Team Wellesley

Request an Appointment